|
診療時間 8:45〜12:00
14:00〜18:00
診療科目 一般歯科・矯正歯科・ 審美歯科・インプラント
休診日 木曜、日曜、祝日
住所 長野県松本市高宮北6-1
TEL0263-25-8338
FAX0263-25-7415
E-mail
mail@dental-kawasaki.com
|
 |
白くキレイな歯で
美しい笑顔を。。。
|
<審美歯科>
|
詰め物や被せ物を、白い材料でつくり
美しいキレイな歯を取り戻します。 |
審美歯科治療は一連の歯科治療(虫歯治療、歯周病治療、根管治療、矯正治療等)をきちんと終えた上で行う治療であり、見た目だけを安易に直す治療ではありません。
当院では一人の歯科医師が矯正からインプラント治療を行なうため治療後の安定が図れます。また時間的にも費用的にも良好なパフォーマンスが得られます。 |
 |
 |
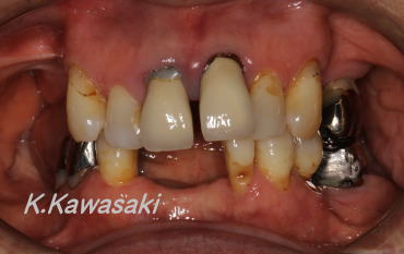
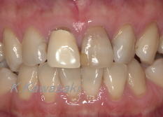
| 歯の無い部分と見た目の改善を希望して来院されました。上下奥歯、下の前歯が歯周病でありませんでした。上の前歯もグラグラでした。 |
奥歯が無くなると、残った歯に慢性的に負担がかかり、歯は様々な場所に移動してしまいます。インプラント、ブリッジなどの治療の際、本来の位置に歯を戻してあげることがとても重要です。移動には部分矯正治療が有効です。 |
 |
 |
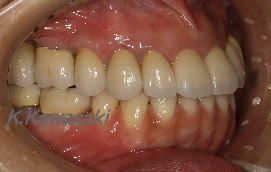
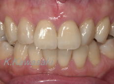
| 奥歯と下の前歯にはインプラント、上の前歯にはブリッジを装着し機能性・審美性を回復させました。ところで上の前歯はどこが無いかおわかりでしょうか? |
真ん中2本がありません。しかし事前に精密な処置を施すことで、まるで本当に歯が生えているかのように再現することが可能です。 |
 |
 |
 |
 |
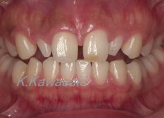
| 「前歯で物をかむことが出来ない、何とかしてほしい」と来院されました。奥歯にも虫歯が多くありました。また横顔は少し受け口でした。精密検査の結果、矯正治療後全体的に治療する事になりました。 |
 |
 |
 |
 |
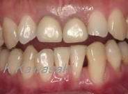
| 抜歯矯正によりかみ合わせを整え、セラミックの歯を装着しました。見た目、機能の改善が出来ました。口元も美しくなりました。 |
 |
 |
 |
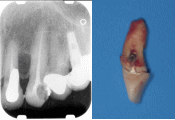
| 前歯の作り直しを希望して来院されました。色・形態・大きさなど審美的ではありません。 |
精密検査の結果、骨の中で歯が割れていることが判明しました。残念ながら抜歯となりました。 |
通常抜歯した部分の歯茎はすぐに痩せてしまいます(○の部分)。外科的に歯茎を増やさなければ美しい歯を入れることはできません。 |
 |
 |
 |
| 外科処置後、ジルコニアのクラウンを装着し審美性を回復しました。 |
どの歯を抜歯したかおわかりでしょうか? |
黄色の○の部分が抜歯した歯です。 |
 |
 |
 |
| 前歯の作り直しを希望して来院されました。 |
|
セラミックで作り直しました。 |
 |
 |
 |
| 前歯の作り直しを希望して来院されました。隣の歯の色に合っていません。 |
|
どの歯がかぶせ物の歯かおわかりでしょうか?技工士(製作者)に正確な情報(色や形)を伝え、セラミックで作り直しました。 |
 |
 |
 |
 |
| 前歯の隙間と2番目の歯の形が気になり来院されました。 |
|
部分矯正後、小帯と歯肉の形を整え2番目の歯だけセラミックで治しました。
|
ステキな口元になりました。 |
 |
 |
 |
歯の変色と歯ぐきの着色を気にして来院されました。
歯が傾いているためこのままではきれいな歯を作れません。 |
歯ぐきの着色(メラニン色素の沈着)を薬液で取り除きました。(ブリーチング・漂白)
歯の傾きを部分矯正で改善しました。 |
| すべての治療を1人の歯科医師が行なうことで、時間的にも費用的にも良好なパフォーマンスが得られます。 |
 |
 |
| 審美性の高いジルコニアで変色した歯のみクラウンを作製しました。 |
 |
 |
 |
 |
| 前歯の形、歯ぐきの黒ずみ、下の歯の隙間が気になり来院されました。 |
|
歯肉の高さを整えた後(歯周外科処置)、セラミックで治しました。 |
 |
 |
 |
| 歯ぐきの着色やヤニの除去を希望され来院されました。 |
|
薬液で歯ぐきをきれいにしプラスチック(レジン)とセラミックで改善しました。 |
 |
 |
 |
| 前歯の変色や方向・長さを気にして来院されました。 |
|
精密検査後、セラミックで製作しました。 |
 |
 |
 |
 |
| 前歯の作り直しを希望して来院されました。このままでは受け口の状態か、前歯を出っ歯にして作り直すしかありません。 |
|
部分矯正で下の歯を引っ込めた後セラミックで作り直しました。 |
横から見ても受け口が治り自然な感じになりました。
|
 |
歯並びと変色が気になり来院されました。まず非抜歯による矯正治療を行ないました。

|
 |
| すべての治療を1人の歯科医師が行なうことで、時間的にも費用的にも良好なパフォーマンスが得られます。 |
 |
 |
 |
| 矯正治療後、セラミックのクラウンとラミネートベニア(付け爪のような薄いセラミック)で機能と審美性を回復しました。 |
 |
 |
 |
 |
 |
| 生まれつき強い変色のある歯です。できるだけ削らなくてすむよう、まず矯正をしました。 |
|
抜歯よる矯正治療後です。 |
|
ラミネートベニアを歯の表面に接着しました。 |
 |
 |
 |
 |
| 前歯のムシ歯と2番目の歯の形が気になり来院されました。 |
|
歯肉の高さを整え前歯4本をセラミックで治しました。
|
 |
 |
 |
 |
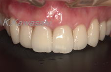
| 生まれつき両側の前歯(2番目)が小さいことを気にして来院されました。 |
|
ラミネートベニアを歯の表面に接着しました。 |
 |
 |
 |
 |
| 以前は虫歯の治療といえば、銀歯が主流でした。 |
|
材料が進歩し、奥歯にも白い歯を入れることができるようになりました。 |
|

メールにて治療のご相談をしております。
|