|
診療時間
8:45〜12:00
14:00〜18:00
診療科目
一般歯科・矯正歯科・
審美歯科・インプラント
休診日
木曜、日曜、祝日
住所
長野県松本市高宮北6-1
TEL0263-25-8338
FAX0263-25-7415
E-mail
mail@dental-kawasaki.com
|
 |
歯を失くしてお困りの方へ
|
笑顔に自信を、食事に楽しみを。
歯を失くしてお困りではありませんか?
もっと笑ったり、何でも美味しく食べたいと思いませんか?
インプラントは、あなたの「歯のある生活」を取り戻す治療です。 |
<インプラント>
|
歯の無い部分に人工の歯根(インプラント)を埋め込み、その上に歯を作る治療のことです。 |
 |
 |
奥歯が1本抜けてしまいました。従来のブリッジや入れ歯では周囲の歯に余分な負担がかかってしまいます。 |
 |
 |
まず歯肉を切開し、歯を支えている骨にインプラントを埋める穴を開けます。 |
 |
|
体に安全なチタン製のインプラント体を埋め込みます。 |
 |
 |
歯肉を閉じインプラントとインプラントの周りの骨が結合するのを待ちます。(2〜4ヶ月) |
 |
 |
 |
| 歯型をとりインプラントの上に、出来上がった歯をかぶせます。 |
| 「きちんと咬めるようにしてほしい」と来院されました。上下に咬みあわないない入れ歯が装着されていました。残念ながら残っている歯も虫歯と歯周病で長期に渡り使うことが出来ないと診断しました。 |
 |
 |
 |
| 年齢を考慮した上で、インプラントを用いた固定式のブリッジを製作することとなりました。 |

固定式ブリッジ完成時です。今後のメインテナンスが重要です。 |

上あごには7本、下あごには6本のインプラントを植立しました。 |

機能的・審美的にも満足していただけるかみ合わせになりました。 |
| 「すき間が気になる」と来院されました。問診から生まれつき永久歯の本数が足りず、かみ合わせが乱れていることがわかりました。奥歯が無いため咀嚼にも不自由しているとのことでした。機能性、審美性、長期安定性を考慮し、矯正治療とインプラントを使った噛み合わせの回復治療をすることになりました。 |
 |
 |
 |
| 矯正治療にて前歯のすき間を閉じ、さらに奥歯の部分にはインプラントを植立するスペースを作りました。 |

治療終了時です。アドバンスな外科処置とインプラント治療で奥歯にも歯が入り、何でもかめるようになりました。 |

すき間もなくなり審美的です。 |

長期安定性を考慮したかみ合わせも獲得できました。 |
| 「入れ歯が合わなくて食事ができない」と来院されました。機能性、審美性、を考慮し、インプラントと入れ歯で噛み合わせの回復治療をすることになりました。 |
 |
 |
 |
| 上あごは合わない入れ歯を長期間使用したため、左右非対称な形になっていました。下あごの奥歯にも入れ歯が入ってます。横顔口元はかなり前に出ている印象を受けました。 |

下あごの奥歯は歯周病で抜歯となりました。 |

抜歯した場所にはインプラントを植立しました。 |

下の歯のガタガタと前突感は矯正治療で回復しました。 |

上あごは入れ歯ですがなんでも噛めるそうです。 |

たとえ入れ歯でも矯正やインプラントを併用し、適切な設計の元、製作すれば機能回復が図れます。 |

とてもすっきりした口元になりました。
|
| 「前歯がとれた」と来院されました。ブリッジが装着されていましたが土台の歯(前歯)が大きなむし歯で長期に渡り使うことが出来ないと診断しました。また歯並びがガタガタで歯ブラシが届きにくい状態でした。 |
 |
 |
 |
| 矯正治療にて上あごの隙間(1本分)を閉じ、ガタガタを改善しました。 |

矯正治療終了時です。上あご前歯の歯ぐきを意図的に増やしてあります。 |

上あご前歯にはインプラントを植立しました。 |

機能的・審美的にも満足していただける歯並びになりました。 |
| 「上の奥歯と下の前歯に歯を入れてほしい」と来院されました。機能性、審美性、長期安定性を考慮し、インプラントを使った噛み合わせの回復治療をすることになりました。 |
 |
 |
 |
| 上下の歯の位置を矯正治療にて修正→無くなってしまった骨と歯肉をを増やした後、上の奥歯に1本、下の前歯に2本のインプラントを植立しました。 |

上顎→インプラントとクラウンによる機能回復 |

見た目も機能も回復し満足されています。 |

美しいスマイルとリップで若返りました。 |
| 「奥歯が無くなり噛めない」と来院されました。機能性、審美性、長期安定性を考慮し、インプラントを使った噛み合わせの回復治療をすることになりました。 |
 |
 |
 |
| 乱れた歯の方向を修正→無くなってしまった骨を増やした後、上あごに2本、下あごに5本のインプラントを植立しました。 |

上顎→インプラントとクラウンによる機能回復 |

見た目も機能も回復し満足されています。 |

下あご→インプラントを柱とした固定式のブリッジ |
「若い頃より虫歯が多く、よく噛めない」と来院されました。
精密検査→ご相談の後、インプラントで噛みあわせの回復をする事にしました。 |
 |
 |
 |
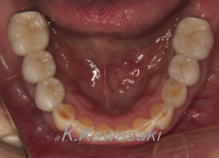
| 下あごに5本のインプラントを植立しました。今まで下の総入歯で苦労された方にとてもお勧めです。 |
インプラントでとても良く噛めるようになりました。 |
上あご→総入歯
|
下あご→インプラントを柱とした固定式のブリッジ。 |
「入れ歯が痛くてかめない」と来院されました。
まだ若いためしっかりとインプラントで噛みあわせの回復をする事にしました。 |
 |
 |
 |
| 上あごに4本、下あごに5本のインプラントを植立しました。 |

上あご→磁石を使い落ちない入れ歯を作りました。 |

上あごの総義歯には触感の良い薄い金属を使いました。 |

下あご→歯のない場所にインプラントを植立しました。 |
「下の入れ歯があわない」と来院されました。
虫歯も多いため、全体的に治療を行うことにしました。 |
 |
 |
 |
| なぜこのような状態になってしまったのかをよく考察し、問題を解決することが長期に安定させるためのポイントです。 |
インプラントでとても良く噛めるようになりました。 |
同時に審美性の問題も解決しました。 |
下あご→4本のインプラントが植立されています。 |
「奥歯の入れ歯をインプラントにして欲しい」と来院されました。
上の前歯も動揺していたため全体的に治療を行うことにしました。 |
 |
 |
 |
| 前歯に2本、上の奥歯に5本、下の奥歯に4本のインプラントを植立しました。機能的・審美的に満足していただける結果となりました。 |
 |
 |
 |
| 黄色の○部分は歯並びが悪く歯周病と虫歯になってしまいました。他院にてやむを得ず抜歯となっており仮歯が装着されています。 |
 |
 |
 |
| この歯並びではブリッジ、インプラントともに困難な状態です。まず部分矯正(上顎のみ)にて歯並びの改善をしました。その後黄色の○部にインプラントを植立しました。 |
 |
 |
 |
 |
 |
前歯部のインプラント治療は審美的要求が強く高度な技術が要求されるため、より慎重な診査・診断が必要です。 |
「前歯がグラグラする」と来院されました。○の歯が根の部分で折れていました。残念ながら抜歯となりましたが、大切なのはなぜこの歯が折れたのかを検証することです。検査の結果、矢印の歯が物を食べたり口を動かしたりするときに○の歯に干渉していることが判明しました。
|
 |
 |
 |
| そこでまず下の前歯に部分矯正を行いました。干渉が無くなったことを確認して折れた部分にインプラントを植立しました。機能的・審美的に満足していただける結果となりました。当院では一人の歯科医師が矯正からインプラント治療を行なうため時間的・費用的に良好なパフォーマンスが得られます。 |
 |
 |
 |
| インプラント治療をお考えの方へ。 |
安全!確実な治療のために。。。
インプラントは歯肉の内側の骨に埋め込まれるため、あらかじめ骨の形や硬さ、周囲の神経や血管の位置などを正確に把握しておく必要があります。実はお口の中には、通常のレントゲン写真では映らない部分や、診査しにくい部分が存在します。不確定要素がある状態でのインプラント治療は、「不測の事態」を招く恐れがあります。当医院では「不測の事態」を解消するため、事前にCT撮影を行い、最先端のコンピューターシステム(SIM/Plant)にてデータを3次元画像に構築し、納得出来る治療計画を立て、安全・確実な治療を実現しています。 |
もう少し当院のインプラントについて
お知りになりたい方はこちらへ


当医院ではCT診断とSIM/Plantを活用し安全で、的確なインプラント手術を行ないます。 |

インプラント手術を成功に導くため、最新機器を揃えています。(左:インプラントを活性化させ骨との結合能力を高めます。 右:歯肉や粘膜を傷つけることなく骨だけを腫れにくく削ることが出来ます。) |

メールにて治療のご相談をしております。
|