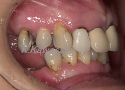
初診時
「全体的に虫歯が多く良く噛めない」と来院されました。
上下奥歯が無く前歯だけで噛んでいるため、前歯が前方に出てきてしまいました。 |
    |
| ほとんどの歯に虫歯があり全体的に歯周病にもなっていました。また口元は前突感があります。全体的な治療が必要な状態です。 |
|
精密検査(診査診断・治療計画)
なぜこのような状態になってしまったのか?どうしたら治るのか?長期に安定させるにはどうしたら良いのか? 徹底的に検査し治療計画を立案します。 |
   
問診・視診、レントゲン写真の読影・分析、口腔内模型の診査、噛み合わせの検査、歯周病の検査等を行ないます。 |
|
カウンセリング
検査の結果をお伝えし治療方針を提示します。
ご予算、治療期間、治療内容について話し合い治療方針を決定します。
今回の場合、インプラントと被せ物(クラウン)により機能回復と見た目(審美)の回復治療を行なうことになりました。
|
|
シュミレーションと治療計画の決定

治療のゴールを蝋細工(ワックスアップ)でイメージ化します。この工程により必要な治療のオプション(外科処置、補綴処置、歯周処置、矯正処置、インプラント処置など、、、)が明らかになり、細部にわたる治療計画を決定し契約になります。複雑な治療になるほど省いてはならない大切な工程です。 |
|
初期治療の開始
治療計画が決定するといよいよ治療が始まります。お口の環境を整備するため虫歯治療、歯周病治療、抜歯などが行なわれます。また仮の入れ歯や仮歯で機能の回復を図ります。 |
|
CT撮影とインプラント植立部位の診査
 
初期治療が終わるとCTを撮影します。CTによる診断と3Dシミュレーションソフト(SIM/Plant)を活用し、インプラント植立部位の状況を把握します。インプラントが審美的、機能的、長期的に維持されるために植立位置は極めて重要です。
今回は8本のインプラントを植立することになりました。 |
|
インプラント植立と仮歯による調整
   
インプラントの植立が終わると仮歯の調整(咬み合わせや歯ブラシのしかたなどの確認)をします。今回は前歯の前突感の改善のため部分矯正もしました。 |
|
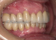
型採り→被せ物の装着
|
|
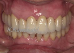
歯形をとりセラミックの歯を装着しました。機能的、審美的にも満足していただきました。
口元もスッキリして素敵な笑顔になりました。 |
|
|
メインテナンス
被せ物を装着してからは毎日のお手入れと定期的な検診・クリーニングが大切になります。出来る限り永く使っていただけるよう大切に管理します。
|